Open Hours: 10:00am - 2:00pm & 5:30pm - 9:30pm / Sunday - By Appointment.

Cosmetic Fillings

  • Home
  • Services
  • Cosmetic Fillings

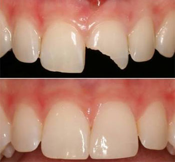
Cosmetic Fillings

Composite resins, or tooth-colored fillings, provide good durability and resistance to fracture in small- to mid-size fillings that need to withstand moderate pressure from the constant stress of chewing. They can be used on either front or back teeth. They are a good choice for people who prefer that their fillings look more natural.

The most important asset for any dental care facility is the patient.

 
Cosmetic Fillings

Benefits of Composite / Cosmetic Fillings:


Benefits of Composite / Cosmetic Fillings
  • They look more aesthetically pleasing since they match your natural tooth color and appearance.
  • They require less drilling, so not as much tooth structure needs to be removed.
  • They harden in seconds instead of days like other materials.
  • They bond to the tooth giving it greater strength, which helps prevent breaks.
  • They can be repaired if damaged.